LH 510
High Speed Digital Pathology Slide Scanner
Features
Superior Image Quality
Employing the intricatly designed 3-camera structure, XERA' slide scanner VISQUE DPS delivers four different imaging modes.
3-Camera Structure
- Obtains three differently focused images at once
- Achieves 4 ㎛ depth of field in a single field of view (FOV)
- Produces high resolution image at 40x magnification
3-Camera Structure

Best focused layer mode

Realtime EF(Extended Focus) mode
Four Image Modes
| Scan mode | Extended depth of focus | Scan time | Image size | Optimal application | ||
|---|---|---|---|---|---|---|
| Best focused layer mode | Automatically selects image with best image quality | X | 30 sec. (15 mm x 15 mm) |
0.4 GB - 0.7 GB (15 mm x 15 mm) |
Histopathology slides | |
| Realtime EF mode |
|
○ | 30 sec. - 60 sec. (liquid slide) |
0.3 GB - 0.5 GB (liquid slide) |
Liquid-based cytology slides | |
| Z-stack mode | Z-stack mode |
|
○ | Dependent on number of layers | Dependent on number of layers | Cytology slides |
| Realtime EF Z-stack mode |
|
○ | 3 times faster than Z-stack | 1/3 of Z-stack | Cytology slides | |
*Image size may vary depending on the complexity of target
*Realtime EF mode: Realtime Extended Focus mode
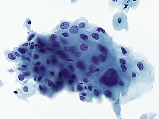
Cytology slide captured with Realtime EF mode
40 x

Image taken with a microscope

Image taken with Realtime EF mode
80 x (Digital Zoom)

Image taken with a microscope

Image taken with Realtime EF mode
High Speed, High Volume Scanning
High Throughput
- Scans up to 83 slides per hour (15 mm x 15 mm @ 40x)
High Speed Scanning
- Scan speed of 30 sec./slide
High Volume Scanning
- Compatible slide racks
- Loads up to 510 slides (17 racks with 30 slides/rack)
- Loads up to 340 slides (17 racks with 20 slides/rack)
- Supports both 30 slide racks and 20 slide racks with XERA' patent pending adapter* Adapter available for individual purchase
Up to 17 racks and 510 slides
30 slide and 20 slide racks used simultaneously
Easy Operation
Automated Slide Management
- Scanned error slides are sorted automatically into Error Slide Rack
Continuous Scan
- Replace slide racks without turning off the scanner
- Non-stop scanning after occurrence of error slides
Scan Priority Setting
- Designate priority scanning for each slide rack
Automatic error slide sorting for non-stop scanning
Designated error slide rack
Hassle-Free Maintenance
Accessible Design
- Simply designed interior and exterior enabling maintenance on spot
Reliable Customer Support
- Timely and thorough after-sales service provided by XERA service engineers
Auto Calibration
- Effortless calibration with automatic calibration feature and calibration slide
Swing door for easy opening
Easy access to optics components with magnetic cover
| LH 510 | |
|---|---|
| Imaging Type | Brightfield |
| Camera | 12 megapixels (pixel size: 5.5 ㎛ X 5.5 ㎛) |
| Number of Slides | 30 slide rack: 510 slides (17 racks) 20 slide rack: 340 slides (17 racks) |
| Scan Speed (15 mm x 15 mm) | 30 Sec. |
| Throughput (per hr.) | 83 slides |
| Objective Lens | 40x (NA 0.75) (ZEISS objective lens) |
| Pixel Resolution (㎛/pixel) | 0.275 |
| Rack Compatibility | Yes (30 slides/rack & 20 slides/rack) |
| Z-Stacking | Yes |
| Slide Type | 1" x 3" |
| Error Slide Sorting Function | Yes |
| Continuous Loading | Yes |
| Scan Pause, Scan First Function | Yes |
| Image File Type | Tiff, DICOM |
| Barcode Scan | 1D, 2D (Data Matrix, QR code, Code 39, Code 128, Code 128A, Code 128B, Code 128C) |
| Power Consumption | 360W |
| Dimension (mm) | 1,080 x 845 x 650 |
| Weight (kg) | 175 |

